
Restoring Implants and Mastering Aesthetics with CEREC
169 169 people viewed this event.
Event starts in
0
Days
0
Hours
0
Min
0
Sec
OVERVIEW
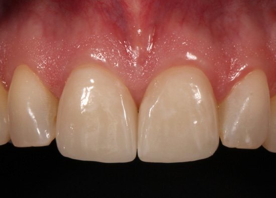
This workshop will teach users how to become proficient with chairside restoration of implants using CEREC. Students will learn all the parts and pieces necessary to scan, design and manufacture high quality custom abutments and screw retained crowns, all with the technology they currently have. This workshop will also cover anterior esthetics with CEREC. Students will learn how to utilize digital waxups to design lab quality anterior restorations and deliver them all in a single visit.
LEARNING OBJECTIVES
- Identify the parts and pieces required for chairside implant restorations.
- Identify the components needed for third party implant restorations.
- Demonstrate how to convert digital wax ups to final restorations that create lab quality esthetics.
PREREQUISITES
None

Additional Details
CE Credits - 21
Speaker
Dr. Nathan Wong | Digital Dentistry