
Hello, my name is Louai Salaita and I’m co-owner of Elements Dental in Johnstown, OH. I want to give you a brief overview and some examples of how Overjet has helped our practice, which has been tremendous.
To start off with a little about our practice and some stats: We have 4 full time hygienists and we run assisted hygiene. In my opinion, we currently have the best group of hygienists we’ve ever had at our practice, but we did things differently last year which we had never done. We hired two hygienists directly out of hygiene school and did a slow training with single column hygiene and then slowly worked them up to assisted hygiene. Overjet was extremely beneficial in our training.
For the month of July 2025 we had 657 hygiene appointments, up from 558 from July 2024, but more remarkably our hygiene production from July 2025 compared to 2024 went up 64% and we had an active perio percentage of 17%. We also presented 20% more treatment from 2024, resulting in the best July in the history of our practice with a net production of 501,000, which we were very proud of and I believe Overjet helped us in achieving our great month.
We use Overjet for several purposes:
- Train any new and existing hygienists in co-diagnosing for restorative work and perio
- Help to eliminate “judgement calls” when it comes to restorative work, particularly crowns
- A teaching and visual tool for the patients
- A way for hygienists to monitor quality control
- A tool to use against insurance companies and denying claims
As a visual learner myself, I’ve attached some simple examples of Overjet that we used on patients just yesterday. These are not necessarily the best examples, these are literally just examples from me being in the office for one day where we used Overjet to our benefit.
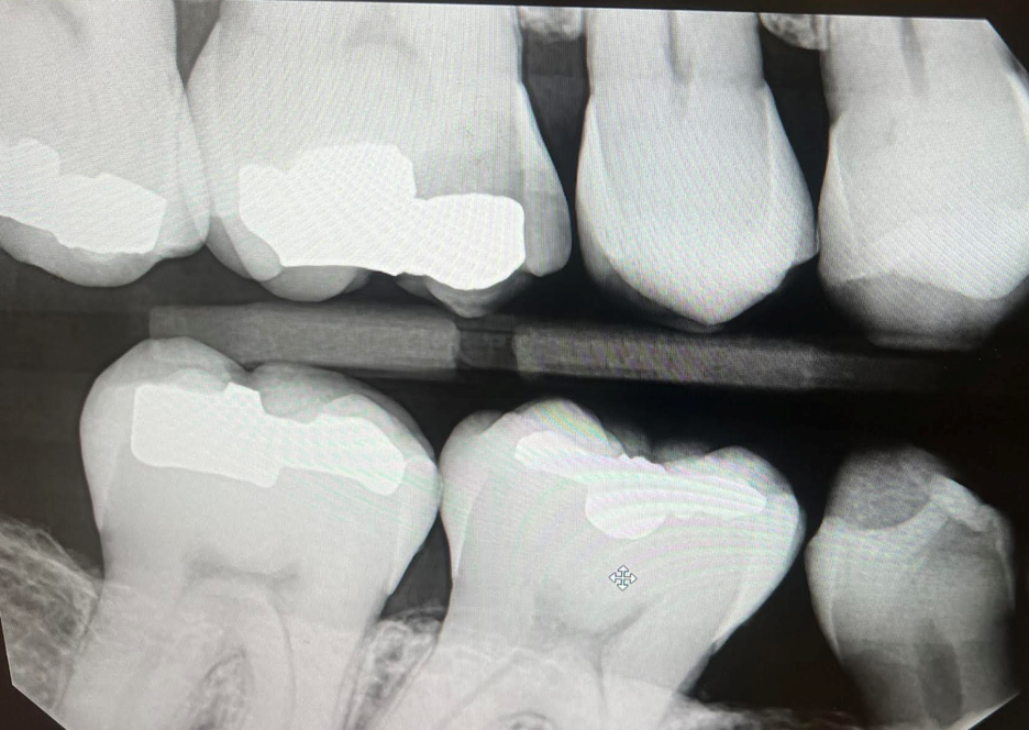
Example 1, Eliminating a “judgement call”
- If you are like our practice, you see a lot of examples of a tooth that could potentially either qualify for a large filling or a crown. This can be challenging as we are always trying to be as conservative as possible while providing the best standard of care. This can also be challenging for our front staff in dealing with insurance denials as well. In this example tooth #3 has recurrent decay under an existing large amalgam restoration:

With viewing under Overjet this makes it easy for the hygienist to see, the patient to see, the doctor to see, and also easy to explain to the patient:

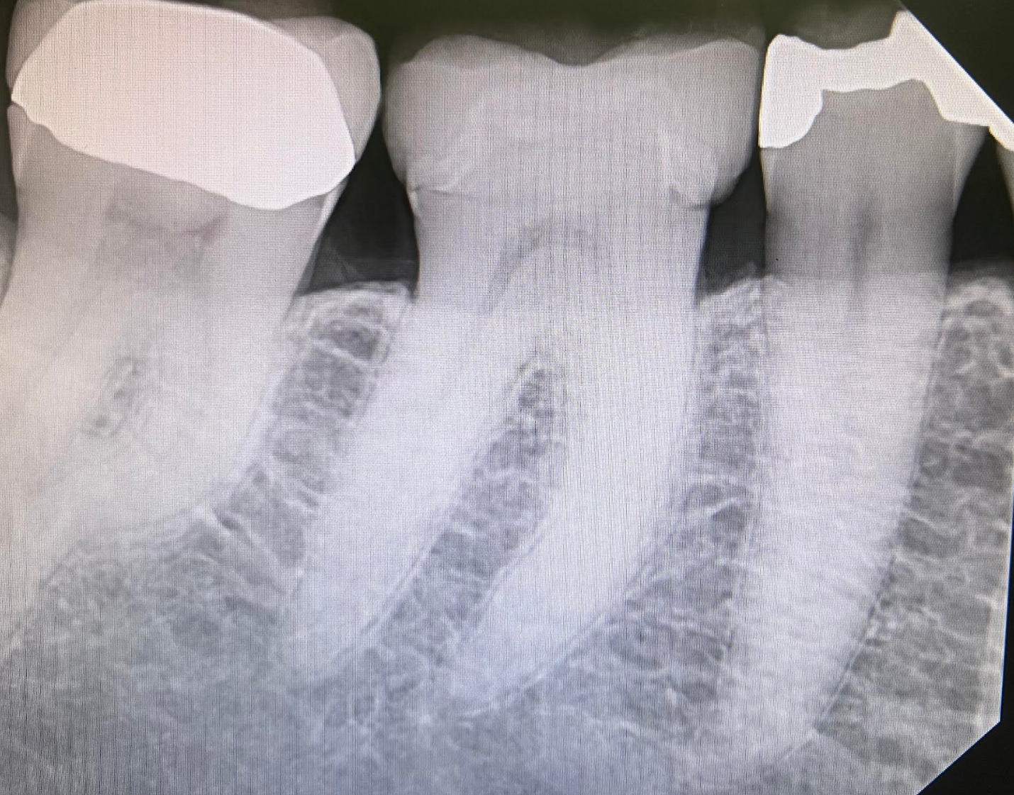
Now that you have no confusion to the patient and they are clearly able to see the red on the screen (which, maybe I should take offense, they seem to trust more than us!) you need to decide whether to do a large MOL composite or a crown (and also convince the patient of the best treatment even if they are on a tight budget). But with Overjet it becomes very objective as to what to do, easier to convince the patient, with no worry about insurance denial:

That’s right – it shows you the percentage of the tooth that is decayed. 55% of decay is a clear indication for a crown, making this a very straightforward treatment decision with no second guessing. This percentage is also great to track smaller lesions that are being “watched” where you can see if they are growing between appointments and need to be treated.
Example 2: Helping with training a hygienist
In this simple example we have a patient with restorative and periodontal needs. For a newer hygienist several things can be missed here that are made much more straightforward with Overjet:

Whereas a more inexperienced hygienist or associate might focus on the fact that the patient is missing a crown on tooth #21 and just mention that, with Overjet the full picture is seen:

And with the help of Overjet the patient has already had the discussion of the need for SRP, recurrent decay under crown #12, as well as the need for a crown on #21 ensuring simple dental work is not missed and also is easily shown to the patient. It is also listed for the hygienist to clearly see so they can start learning to identify subgingivial calculus, bone loss, and recurrent decay. It is also used against insurance company denial:

Example 3: Increasing case acceptance for a new patient
The last example I want to show is one that I really think highlights the power of Overjet. As Imagen doctors we all are aware of how technology and state of the art treatment can be a very powerful marketing tool for our practice, and Overjet is no different. Here we had a new patient to our practice, which in my opinion is the hardest patient to get to accept treatment as we haven’t had much time to establish trust. This was also a new patient who did not report having any issues and was just in for a prophy as she moved from out of town:

Our policy is to have the hygiene assistant seat patient, take X-rays, put any relevant photos on the tv screen in front of the patient (this would be any red from Overjet basically) and then bring it to the hygienists attention when she comes into the room so the patient can hear. Typically a hygiene assistant would have no idea about anything related to treatment, but with overjet she can tell the hygienist to look at teeth 30 and 31:

The hygienist now will have a focus on 30 and 31 when performing the prophy – and the patient is now engaged and expecting to hear about that area. Due to the hygienist focusing on these areas she noted that she had an explorer stick on the mesial margin of crown #30, but not #31. She informed the patient and by the time I came in, it had been the patients 4th time hearing about the need for a crown on tooth #30. Due to the clinical exam and the fact this was the first time we were seeing the patient we elected to place a watch on tooth #31 which the patient appreciated.
As countless studies have shown, a patient needs to hear about a treatment at least 3 times before they remember it and are motivated to treat it. With Overjet we were able to show a new patient the need for a crown with immediate acceptance and trust. Not only that, she commented several times on how impressive that we were so “state of the art”.
I hope these examples help demonstrate just some of the powerful features for Overjet, and for such a dramatic tool it has been one of the easiest ones for us to implement.
~Louai Salaita DDS, MS